Dentinogenesis Imperfecta

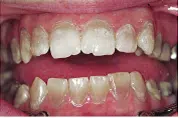
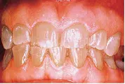
این ناهنجاری اتوزومال غالب است و تکامل غیر طبیعی عاج شیری و دائمی را بدنبال دارد. دارای سه نوع 1 و 2 و 3 می باشد. هر سه نوع DI  توبول های عاجی نا به جا و در جهات نا مناسب تولید می کنند . دندان های شیری شدید تر از دندان های دائمی مبتلا می شوند به نحوی که آخرین دندانی که رویش می یابد از همه دندان ها درگیری خفیف تری بروز می دهد. دندان های یاد شده از لحاظ کلینیکی هنگام رویش ظاهر طبیعی دارند ولی در طول مدت کوتاهی تغییر رنگ یافته و به رنگ کهربایی تا خاکستری –قهوه ای یا شفاف دیده می شوند. مینا از روی این عاج ناقص به صورت لایه لایه کنده شده و باعث ایجاد شیارها و سایش قابل توجهی می شود.

نام نویسنده:

منابع:

Color atlas of common oral diseases ; fifth edition 2016 ; Robert P. Langlais ; Craig S. Miller ; Jill S. Gehrig ; section 4

مبنع جهت مطالعه بیشتر:

کلمات کلیدی مرتبط:

مشتاقانه منتظر دریافت نظرات شما دوستان عزیز هستیم





فهرست الفبایی مطالب

آخرین مطالب منتشر شده

Verrucous

Tumoral

Tragus

Talon cusp

Systemic disease

Submerged tooth