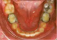
Lingual Arch

نوعی فضا نگهدار است که به بند دندان های مولر وصل می شود و از حرکت مزیالی مولر ها جلوگیری می کند. این وسیله هم در فک بالا و هم در فک پایین قابل استفاده می باشد.

نام نویسنده:

منابع:

Proffit WR., Fields HW., Sarver DM., Ackerman JL. Contemporary orthodontics. 5th ed. St Louis: Mosby; 2013

مبنع جهت مطالعه بیشتر:

کلمات کلیدی مرتبط:

مشتاقانه منتظر دریافت نظرات شما دوستان عزیز هستیم





فهرست الفبایی مطالب

آخرین مطالب منتشر شده

Lingual Cleat

Z-Spring

Wrap-around Retainer/ Circumferential Retainer

Archwire Cross-section

Vacuum-formed Retainer

Headgear Tube