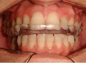
Diagnostic Splint

اسپلینت تشخیصی دستگاهی است که به منظور حذف تطابق سیستم عصبی-عضلانی با اکلوژن موجود و رفع Muscle Splinting و به منظور تشخیص CR واقعی در بیمارانی که دچار دیسکرپانسی CO-CR هستند به کار می رود.

این دستگاه معمولا از اکریل سخت ساخته می شود و تماس یکنواختی را با دندان های فک مقابل فراهم می سازد.

نام نویسنده:

منابع:

DawsonPE. Functional occlusion: From TMJ to smile design. St. Louis: Mosby; 2007. p.382.

مبنع جهت مطالعه بیشتر:

کلمات کلیدی مرتبط:

مشتاقانه منتظر دریافت نظرات شما دوستان عزیز هستیم





فهرست الفبایی مطالب

آخرین مطالب منتشر شده

Mesial Tipping

Malocclusion

Lisping

Lip Interposition

Lip Incompetence

Lip Exercises