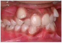
Buccoversion

Lischer در سال 1912 برای توصیف نظم (Alignment) و تقارن داخل قوسی تک دندانی 9 حالت مختلف را ارائه نمود. در حالت Buccoversion دندان مورد نظر به سمت باکال (گونه) قرار گرفته است.

نام نویسنده:

منابع:

Graber LW, Vanarsdall RL, Katherine WL. Orthodontics; Current principles and techniques. Mosby Elsevier, 5th edition 2012.

مبنع جهت مطالعه بیشتر:

Lischer BE. Principles and methods of orthodontia. Philadelphia, Lea and Febiger, 1912.

کلمات کلیدی مرتبط:

مشتاقانه منتظر دریافت نظرات شما دوستان عزیز هستیم





فهرست الفبایی مطالب

آخرین مطالب منتشر شده

Cellular intrinsic fiber cementum

Mode of Force Application/Force Regime

Clicking

Reciprocal Clicking

Mid-opening Clicking

Mid-closing Clicking